Home » Hygroma Coude Echographie » Hygroma Coude Echographie
Hygroma Coude Echographie
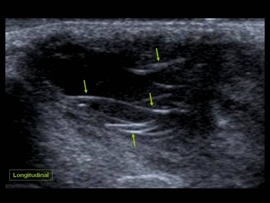
Patient de 44 ans presentant une masse peu sensible de la face palmaire du poignet avec des.
Hygroma coude echographie. Tableau n057 du regime general base de donnees tableaux des maladies professionnelles sur le site web de linrs. Wwwinrsfrmp 062017 page 2 33. Affections periarticulaires provoquees par certains gestes et postures de travail rg 57. Tableau tableaux des maladies professionnelles.
Une anomalie des membres caracterisee par labsence congenitale dun membre a partir du coude. Tumeurs pseudo tumeurs thrombose veineuse ulnaire du poignet irm.
































